大脳皮質the cerebral cortexとして知られる脳の表面は非常に不均一である。
Gyri(ジャイライ)(単数形:gyrus) 折り目と隆起してぷっくりしているところ
Sulci(ソルカイ)(単数:sulcus) 溝
大脳縦裂longitudinal fissure 脳を2つの半分または半球hemispheres(左半球と右半球)に分離する深い溝のこと。

側性化lateralization 機能の特殊化
左半球は体の右半分を制御し、右半球は体の左半分を制御する。、左半球は、記憶、選択的注意、および前向きな感情の関連を形成するために優れている。一方、右半球は、ピッチ知覚、覚醒、および否定的な感情に優れている。
2つの半球は、脳梁corpus callosumと呼ばれる約2億本の軸索からなる太い神経線維の帯でつながっている。脳梁は、2つの半球が互いに通信することを可能にし、脳の一方の側で処理されている情報をもう一方の側と共有することを可能にする。
重度のてんかんepilepsyのいくつかのケースでは、医師は発作の広がりを制御する手段として脳梁を切断することを選択することがある。
その場合、手術後は「スプリットブレインsplit brains」となる。スプリットブレインの患者は、情報がほとんど非言語的な右半球でしか利用できないため、患者の左視野に表示されている画像に名前を付けることができない。ただし、左手で画像を再現することはできます。左手も右半球で制御される。より言語的な左半球が、左手で描いた絵を見ると、名前を付けることができる。

(a、b)脳梁は、脳の左半球と右半球を接続している。(c)羊の脳と脳梁
脳内のある領域への血流の中断によって引き起こされる脳卒中strokesは、患部の脳機能の喪失を引き起こす。脳卒中後に生じる障害は、脳のどこで損傷が発生したかに大きく依存し、損傷が小規模でれば回復も可能である。
ex) 62歳女性 右半球前部の脳卒中。
左足の不自由。前頭前野の損傷により、判断、推論、衝動調節に異常が生じ食料品を計算前に口にしてしまうなどの症状。
脳とその部分は、前脳forebrain,、中脳midbrain,、後脳hindbrainの3つの主要なカテゴリに分類できる。

前脳には、大脳皮質cerebral cortexと、その下にある皮質下構造subcortical structuresとがある。
脳の外面である大脳皮質は、意識、思考、感情、推論、言語、記憶などを担う。
皮質下構造subcortical structures →→→ 視床thalamus、視床下部hypothalamus、下垂体pituitary gland、大脳辺縁系limbic system
皮質下構造のうち前脳の部分には、視床と大脳辺縁系が含まれている。
視床thalamus
脳に嗅覚を除いたすべての感覚を届ける。処理のために脳の他の領域に向けられる前に、視床を通る。

大脳辺縁系limbic system
感情と記憶の処理嗅覚は大脳辺縁系に直接投影されるため、他の感覚に比べ感情的な反応を引き起こす可能性がある。海馬hippocampus 学習と記憶のために不可欠。
扁桃体amygdala 感情の経験や記憶。思い出。
視床下部hypothalamus 体温、食欲、血圧の調節等、恒常性プロセスを調節。性的動機と行動の調節。

ヘンリー・グスタフ・モライソン(HM) 27歳男性 重度の発作。海馬と扁桃体を取り除く手術を受ける。手術後、発作は収まったが、新しい記憶を形成する能力を失った。新しいスキルを学ぶことができたが、それらを学んだ記憶がなくなってしまう。コンピューターの使い方を習っても、コンピューターを使ったことがあるという意識的な記憶がない。出来事が起こった直後でさえその出来事が思い出せない。
各大脳半球は4つの葉に細分でき、それぞれが異なる機能がある。
脳の4つの葉は、前頭葉frontal lobes、頭頂葉parietal lobes、側頭葉temporal lobes、後頭葉occipital lobesに分けられる。

推論、運動制御、感情、言語機能をつかさどる。
運動皮質 motor cortex 運動の計画と調整に関与する
前頭前皮質 prefrontal cortex 高いレベルの認知機能
ブローカ野 Broca’s area 言語能力に必須
ブローカ野を損傷すると、言語能力を失う。口や声帯には何の問題もないが、言葉を発することができない。指示に従うことはできるが、口頭で応答することができない。読むことはできるが、書くことができない。
フィニアスゲージ(25歳男性)
前頭葉の損傷により衝動調節の喪失、性格が変わってしまった。
前頭葉自体への損傷に加えて、前頭葉と大脳辺縁系を含む他の脳構造との間の経路への損傷もあった。前頭葉の計画機能と大脳辺縁系の感情的プロセスとの関係が切断されたため、感情的な衝動を制御することが困難になった。

(a)フィニアスゲージは、1848年の鉄道建設事故で鉄パイプが頭蓋骨を貫通した。(b)ゲージの前頭前野は左半球でひどく損傷。鉄パイプは左側からゲージの顔に入り、目の後ろを通り、頭蓋骨の上部から出て、約80フィート離れたところで止まった。
前頭葉のすぐ後ろにあり、体の感覚からの情報処理を担っている。
体性感覚皮質somatosensory cortex 触覚、体温、痛みなど、体全体からの感覚情報、触覚と感覚を処理する。
それぞれ異なるパートが体のそれぞれの部分からの感覚を処理する。特定の体の部分の表面積が大きく、その体の部分の神経の量が多いほど、体性感覚野のその体の部分からの感覚を処理するための専用の領域も大きくなる。指はつま先よりもはるかに多くのスペースを占める。

頭のサイドの側にあり、聴覚、記憶、感情、言語機能をつかさどる。
聴覚皮質auditory cortex 聴覚情報を処理するための責任を負う主領域
ウェルニッケ野Wernicke’s area 音声理解にとって重要な役割を果たす。
ウェルニッケ野に損傷を与えた人は正しい言語を話したり書いたりできるが、それを理解することができない。(ブローカ野に損傷を負った人は理解はできるが、自分で言語話したり書いたりすることができない。)

脳の非常に奥に位置し、入ってくる視覚情報を解釈する。
一次視覚野primary visual cortexが含まれている。
前脳と後脳の間、深い脳内にある。
網様体 reticular formation
中脳の中心、後脳に前脳と上下にまで延びている。睡眠/覚醒サイクル、覚醒、覚醒、および運動活動を調節する。
黒質substantia nigra(「黒い物質」ラテン語由来)と 腹側被蓋エリアventral tegmental area(VTA)
神経伝達物質ドーパミンを生成する細胞体が含まれており、どちらも運動機能に不可欠である。黒質とVTAの変性は、パーキンソン病を引き起こす。

延髄medulla 呼吸、血圧、および心拍数などの自律神経系の自動プロセスを制御。
橋pons 後脳を脳の他の部分に接続する。睡眠時の脳活動の調節。
これらは脳幹brainstemとして知られており、中脳と後脳の両方にまたがっている。
小脳cerebellum(「小さな脳」ラテン語由来)コントロールのバランス、協調、運動、および運動能力に対する我々の耳の筋肉、腱、関節、及び構造からの信号を受け取る。また、手続き記憶、またはタスクの実行方法の学習と記憶に関与する記憶などを処理する。

コンピュータ断層撮影computerized tomography(CT)スキャン
人の身体または脳の特定の部分に多数のX線を当てる。X線は、さまざまな密度の組織をさまざまな速度で通過するため、コンピューターはスキャン対象の体の領域の全体的な画像を作成できる。CTスキャンは、脳腫瘍の有無、脳萎縮の有無の確認に頻繁に使われる。

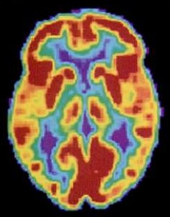
陽電子放出断層撮影Positron emission tomography(PET)スキャン
脳のさまざまな部分の活動を示すことができる。トレーサーと呼ばれる軽度の放射性物質を飲んだり注射したりする。脳の領域がより活発になるにつれて、より多くの血液がその領域に流れるため、トレーサーの動きを監視し、特定の行動中の脳のアクティブ領域と非アクティブ領域の大まかなマップを作成することができる。
PETスキャンでは詳細が分からず、脳の中で起きている出来事を知ることも出来ず、さらに脳が放射線にさらされるリスクがあるためfMRIに置き換えられてきた。ただし、CTと組み合わせると、PETテクノロジーは神経伝達物質受容体の活動のより良いイメージングを可能にし、統合失調症の研究に使用されている。

磁気共鳴画像magnetic resonance imaging(MRI)
強い磁場を発生させ、体の細胞内の水素原子を動かす。磁場がオフになると、水素原子は元の位置に戻るときに電磁信号を放出する。密度の異なる組織は異なる信号を発し、コンピューターがそれを解釈してモニターに表示する。
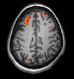
機能的磁気共鳴画像法Functional magnetic resonance imaging (fMRI)
血流と酸素レベルを追跡し、時間の経過に伴う脳活動の変化を表示する。脳の構造のより詳細な画像と、時間の精度を提供する。MRIとfMRIは詳細度が高いため、健康な人の脳と精神障害と診断された人の脳を比較するためによく使用される。

脳波記録Electroencephalography(EEG)
脳の電気的活動の測定値を提供する。電極を頭部の周りに設置し、電極によって受信された信号は、患者の脳の電気的活動、または脳波のプリントアウトをもたらし、記録された脳波の周波数(1秒あたりの波数)と振幅(高さ)の両方をミリ秒以内の精度で示す。睡眠障害を抱える患者の睡眠パターンを調べるのに用いられる。

| 4.1 意識とは (0) | 2021.07.07 |
|---|---|
| 3.5 内分泌系 - ホルモン (0) | 2021.07.06 |
| 3.4 脊髄 Spinal Cord (0) | 2021.07.06 |
| 3.3 神経系-末梢神経系(PNS) (0) | 2021.07.06 |
| 3.2 神経系の細胞 - ニューロンとは (0) | 2021.07.06 |